WEB予約制(緊急避妊は予約不要)

WEB予約制(緊急避妊は予約不要)

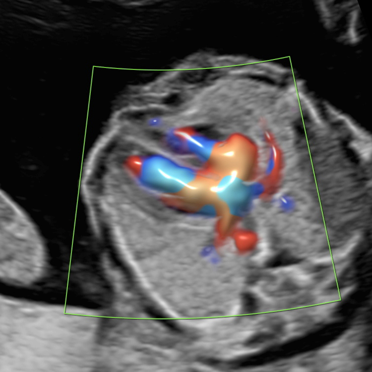
20241114 4CV-19w | 丸の内の森レディースクリニック - 丸の内北口ビル6Fの産科・婦人科クリニック丸の内の森レディースクリニック – 丸の内北口ビル6Fの産科・婦人科クリニック

20241114 4CV-19w

2025.06.05

Share